60代女性 歯根が割れて痛む歯を抜いてインプラント治療で噛み合わせを回復した症例
| 年齢と性別 | 60代女性 |
|---|---|
| ご相談内容 | 「ブリッジ治療をした右上の歯が痛い」とご相談いただきました。 当院には、セカンドオピニオンで来院されています。 |
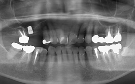
| カウンセリング・診断結果 | 拝見したところ、右上の歯には、欠損部位前後の歯を土台として橋を渡すように連結した被せ物「ブリッジ」が装着されていました。 しかし、土台となっている手前の歯(第2小臼歯)は歯根が割れており、同じく土台となっている奥の歯(第2大臼歯)は歯根の先に膿の袋ができる「根尖病巣(こんせんびょうそう)」が認められます。 さらに、ブリッジ部位の歯茎は腫れ、痛みもあるとのことでした。 かかりつけの歯科医院では、細菌感染を抑える薬を飲んだり、歯を少し削って噛み合わせを調整したりして様子を見ていましたが、口腔内の状態が改善せず、次は抜歯をする必要があると説明を受けたそうです。 また抜歯後に歯を補う方法のひとつにインプラント治療がありますが、患者様の場合は治療に必要な骨量が確保できないため難しいとされ、取り外し式の入れ歯になるとのことでした。 患者様はかかりつけ医からの説明が十分でないと感じていたため、当院にセカンドオピニオンで来院されています。 以上のことから、まずはブリッジ周辺の治療を行ったのち、欠損部を補う治療方法をしっかりと検討する必要があると診断しました。 |
| 行ったご提案 ・治療内容 | 痛みが出ているブリッジ周辺の治療として、ブリッジの土台となっていて、歯根が割れている手前の歯(第2小臼歯)は抜き、根尖病巣を発症している奥の歯(第2大臼歯)は、根管治療を行います。 根管治療とは、感染した神経を取り除いて、歯根内部を清掃・消毒する治療方法のことです。 抜歯と根管治療を行ったあとは、欠損部を補うために、2本のインプラントを埋入する方法を提案しました。 インプラントを埋入するために必要な骨量が足りない場合は、鼻の空洞(上顎洞)の粘膜を少しずつ押し上げて骨を増やす「ソケットリフト」を併用することもお伝えしています。 インプラント治療のメリット インプラント治療のデメリット それぞれの方法について丁寧にお伝えした結果、治療に同意いただきました。 まずは、右上手前の歯(第2小臼歯)を抜きました。 抜歯後は、インプラント治療を行うために、歯を支える骨(歯槽骨)の回復を待つ必要があり、最低でも6ヶ月を要します。 約2ヶ月後、インプラントと骨が結合したことを確認して、右上奥歯2本の仮歯を作製し、手前の歯槽骨が再生するまで経過観察を継続します。 約4ヶ月後、歯槽骨の再生が確認できたため、もう1本のインプラントを埋入しました。 当院のインプラント治療は、施術の安全性と長期的な使用を可能にすることを優先して治療を行うため、通常は抜歯後に歯槽骨の治癒を待ってからインプラントの埋入を行っています。 右上奥歯2本に仮歯が入り、噛み合わせが安定した状態になったため、根尖病巣を発症している右上奥歯の治療を開始します。 また、インプラントに装着する人工歯を作製する前に、歯科医院で歯を白くするオフィスホワイトニング治療を希望されたため、治療期間がやや長くなっています。 最後に、完成した人工歯を装着し、見た目や噛み合わせに問題がないことを確認して、治療を終了しています。 |
| 治療期間 | 1年2ヶ月 |
| 費用 | 約899,000円 (インプラント治療・オフィスホワイトニング) |
| 治療のリスク | ・外科手術のため、術後に痛みや腫れ、違和感を伴います ・メンテナンスを怠ったり、喫煙したりすると、お口の中に大きな悪影響を及ぼし、インプラント周囲炎などにかかる可能性があります ・糖尿病、肝硬変、心臓病などの持病をお持ちの場合、インプラント治療ができない可能性があります ・高血圧、貧血・不整脈などの持病をお持ちの場合、インプラント治療後に治癒不全を招く可能性があります ・自費診療(保険適用外治療)です ・得られる効果は歯の質により様々です。予定通りの白さに達しない場合もあります |
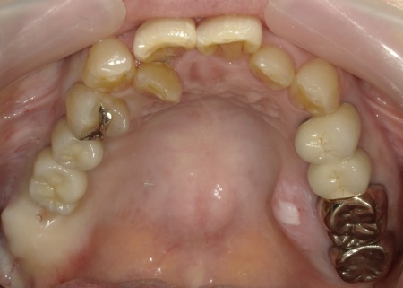
治療前

治療中
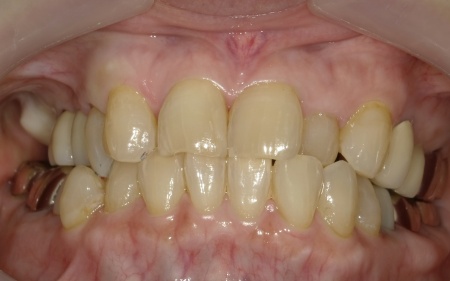
治療後








